Blog informativo en salud
Esclerosis múltiple remitente-recurrente muy activa
La esclerosis múltiple remitente-recurrente muy activa es una forma de esclerosis múltiple en la que los síntomas pueden aparecer en brotes y mejorar en remisiones, pero con alta actividad en poco tiempo.


¿Qué es la esclerosis múltiple ?
La esclerosis múltiple (EM) es una enfermedad del sistema nervioso central (cerebro, médula espinal y nervios ópticos) en la que participan procesos inmunológicos e inflamatorios que pueden afectar la mielina (cubierta protectora de las fibras nerviosas) y, en algunos casos, el propio tejido nervioso. Esto puede interferir con la transmisión de señales y manifestarse con síntomas neurológicos variables.
Esclerosis múltiple remitente-recurrente (EMRR)
En la EMRR, se presentan brotes (recaídas) —episodios de síntomas nuevos o empeoramiento— que pueden seguirse de periodos de remisión con mejoría parcial o completa.
Señales, síntomas o manifestaciones generales
Las manifestaciones pueden variar ampliamente entre personas y a lo largo del tiempo. De forma general, pueden incluir:
Alteraciones visuales (por ejemplo, visión borrosa o dolor ocular).
Sensación de hormigueo o adormecimiento.
Debilidad o torpeza en extremidades.
Problemas de equilibrio o coordinación.
Fatiga.
Síntomas urinarios o intestinales, entre otros.
Tener uno o varios de estos síntomas no confirma EM por sí solo: el patrón, la evolución y la evaluación neurológica son determinantes.
Detección y confirmación
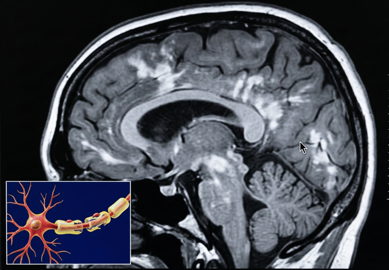
El diagnóstico se realiza mediante valoración clínica por neurología y, con frecuencia, se apoya en estudios como:
Resonancia magnética (MRI) para identificar lesiones compatibles en el sistema nervioso central.
Estudios complementarios según el caso (por ejemplo, análisis de líquido cefalorraquídeo u otros), a criterio del especialista.
La confirmación diagnóstica y la clasificación del tipo de EM dependen de criterios médicos y de la integración de hallazgos clínicos e imagenológicos.
Manejo médico en términos generales (por categorías, no marcas)
En EMRR, el manejo clínico suele organizarse en componentes:
Manejo de brotes: estrategias médicas para episodios agudos, definidas por el equipo tratante.
Terapias modificadoras de la enfermedad (DMT): medicamentos de prescripción que se usan en contextos clínicos específicos para modular la actividad de la EM, siempre bajo supervisión y con criterios de seguridad.
Manejo de síntomas y rehabilitación: medidas no farmacológicas y, cuando corresponde, farmacológicas para síntomas como fatiga, espasticidad, dolor neuropático, movilidad, etc.
¿Qué significa “muy activa”?
En práctica clínica, “EMRR muy activa” suele referirse a una enfermedad con alta actividad clínica y/o en imagen, por ejemplo:
Actividad persistente a pesar de un curso completo y adecuado con al menos una DMT, o
Un curso rápidamente evolutivo y severo, definido (en documentación regulatoria europea) por 2 o más brotes incapacitantes en un año y evidencia de actividad en MRI (p. ej., lesiones con realce con gadolinio o aumento relevante de carga de lesiones).
La etiqueta “muy activa” no se establece por un solo síntoma: se integra con historia clínica + exploración neurológica + evolución + MRI.
Seguimiento y controles
En EMRR muy activa, el seguimiento suele ser estrecho y puede incluir:
Revisión periódica de síntomas, brotes y función neurológica.
MRI de seguimiento según criterio clínico.
Monitoreo de seguridad (por ejemplo, laboratorios o evaluaciones específicas) dependiendo del tratamiento y del perfil de riesgo individual.
El calendario y tipo de controles se personaliza y se ajusta según evolución y tolerancia.
Preguntas útiles para la consulta
¿Qué elementos clínicos y de MRI sustentan que la EM se considera “muy activa” en este caso? European Medicines Agency
¿Cómo se documentará la actividad (brotes, MRI, escalas clínicas) y cada cuánto se revisará?
¿Qué señales ameritan contacto inmediato o revisión antes de la próxima cita?
¿Qué monitoreo de seguridad requiere el esquema indicado y por qué?
Aviso importante: Esta guía tienen fines informativos y educativos. No sustituyen la valoración ni la consulta con un profesional de la salud. Ante cualquier duda, acude con un médico certificado.
Para conocer más sobre tus medicamentos especializados, consulta en Farmacias Macross.
Natalizumab como parte de la terapia de Esclerosis múltiple (EM)
TYSABRI (natalizumab) es un anticuerpo monoclonal indicado como terapia modificadora de la enfermedad en formas recurrentes de EM.
Natalizumab se une a una molécula de adhesión (integrina α4) y reduce el paso de ciertas células inmunes hacia el sistema nervioso central, con el objetivo de disminuir la inflamación asociada a la EM.


Este portal tiene como objetivo facilitar el acceso a información médica confiable y comprensible para el público general.
Nosotros
Enlaces
Legal
TODOS LOS DERECHOS RESERVADOS POR COMERCIALIZADORA FARMACIAS MACROSS S.A DE C.V., MÉXICO CDMX 2025 COFEPRIS: 09 004 09 0206
Políticas de Cookies
