Blog informativo en salud
COVID-19
El COVID-19 cambió rutinas, salud pública y la forma en que entendemos los virus. En este blog encontrarás información clara y actualizada sobre qué es el COVID-19, cómo se transmite, cómo reducir riesgos en la vida diaria y qué significa.


¿Qué es COVID-19?
COVID-19 es una enfermedad causada por el virus SARS-CoV-2. Forma parte de los virus respiratorios que circulan en olas y su comportamiento se monitorea mediante informes de vigilancia epidemiológica.
Señales, síntomas o manifestaciones generales
Las manifestaciones pueden variar entre personas. En términos generales, se describen con frecuencia:
fiebre o escalofríos
tos
dolor de garganta
congestión o escurrimiento nasal
dolor de cabeza, malestar general
cansancio
pérdida o cambio del olfato/gusto (en algunos casos)
dificultad para respirar (en escenarios de mayor gravedad)
Estos síntomas no son exclusivos de COVID-19 y pueden aparecer en otras infecciones respiratorias.
Detección y confirmación
La confirmación se realiza con pruebas diagnósticas (por ejemplo, pruebas rápidas de antígeno o pruebas moleculares), según el contexto clínico, el momento de la enfermedad y criterios del personal de salud. En algunos casos, la decisión de hacer pruebas depende de factores como riesgo individual, convivencia con personas vulnerables o necesidad de definir medidas de cuidado.
Qué afectan y quién debe poner más atención
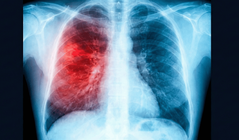
Afectan nariz, garganta, bronquios y pulmones.
Riesgo más alto de complicaciones :
Adultos mayores
Personas con enfermedades crónicas (corazón, pulmón, diabetes, etc.)
Inmunosupresión
Embarazo (según el virus y el contexto clínico)
Bebés y niños pequeños (especialmente para RSV/VSR)
Cómo ayudar
1) Ventilación (aire limpio)
Abrir ventanas y mejorar flujo de aire reduce la concentración de partículas respiratorias en interiores. Es de las medidas más costo-efectivas.
2) Si estás enfermo: quédate en casa cuando puedas
Evita contagiar a otros, sobre todo a personas vulnerables. Regresa a actividades cuando los síntomas estén mejorando y puedas mantener precauciones básica.
3) Higiene respiratoria
Cubre tos/estornudos y lávate las manos con frecuencia.
4) Pruebas (solo cuando aportan algo)
Las pruebas (COVID, influenza u otras) se indican cuando:
Cambian decisiones (manejo, cuidados, contacto con vulnerables, trabajo/escuela)
Hay riesgo alto o síntomas importantes
Lo pide el médico por contexto clínico o epidemiológico
Preguntas útiles para la consulta
¿Qué datos clínicos sugieren vigilancia en casa vs valoración presencial?
¿En qué momento una prueba diagnóstica aporta información útil?
¿Qué señales indican que debo acudir a urgencias?
¿Qué medidas de cuidado deben considerarse si vivo con personas vulnerables?
¿Qué vacunas o refuerzos aplican en mi caso según campañas y lineamientos vigentes?
Aviso importante: Esta guía tienen fines informativos y educativos. No sustituyen la valoración ni la consulta con un profesional de la salud. Ante cualquier duda, acude con un médico certificado.
Para conocer más sobre tus medicamentos especializados, consulta en Farmacias Macross.
Nosotros
Enlaces
Legal
TODOS LOS DERECHOS RESERVADOS POR COMERCIALIZADORA FARMACIAS MACROSS S.A DE C.V., MÉXICO CDMX 2025 COFEPRIS: 09 004 09 0206
